三级甲等综合医院

榆林市第一医院

显微镜下精益求精,离断小腿重获“新生”|榆林市第一医院手足显微外科成功救治一名小腿不全离断患者

编辑:admin    发布时间: 2021-07-21    浏览量:12738

近日,榆林市第一医院手足显微外科团队历时10小时,成功救治一名小腿不全离断患者,成功保住了患者肢体。该手术采用游离皮瓣flow-through技术并成功实施,是我院手足显微外科攻克高难技术的又一突破,是全院多学科通力合作挽救患者又一成功典范。



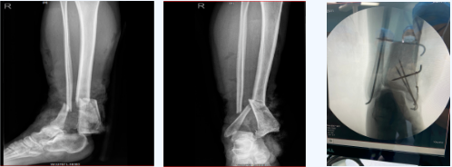
患者刘某因交通事故导致小腿不全离断,被120送来我院后,经手足显微外科会诊与查体:患者血压较低、心率较快、处于休克前代偿期。右小腿中下段开放粉碎性骨折血管长段缺损,大面积皮肤软组织缺损,小腿外侧存在少量皮肤,右足苍白无血运。



经过医务科积极协调,手足显微外科、麻醉科、重症医学科、输血科、急诊医学科会诊后,在家属强烈要求下,急诊为患者进行断肢再植术。因患肢皮肤软组织缺损较大,若单纯行血管移植无软组织覆盖的话,移植血管外露导致栓塞,则手术失败,患者可能面临截肢的风险。此时需要设计一种游离皮瓣既能桥接血管又能覆盖创面的术式,才能保肢。

患者是一位26岁的年轻妈妈,有三个孩子,最小孩子1周岁,右足能否保住对她来说可能会是两个不同的人生状态。经科室严谨细致讨论后,临床经验丰富的赵建武主任决定为患者取对侧股前外侧游离皮瓣,运用flow-through技术保肢。经过10个多小时手术,该手术采用游离皮瓣flow-through技术并成功实施在多学科的通力配合下,患者右脚恢复了血运,创面也得到了覆盖。术后转入重症医学科进一步治疗,目前患者病情稳定,患足及皮瓣成活,已转手足显微外科病区进一步治疗。



赵建武主任讲:该手术的难度在于游离股前外侧皮瓣及6个吻合口进行吻合,而且血管口径相差悬殊,对术者技术要求非常高,且耗时长,需要有足够的耐心。此手术方式在我院尚属首例,标志着我院显微外科技术有了进一步的提升,为我市周边大肢体离断患者救治提供了新的方法。



显微镜下精益求精,离断小腿重获“新生”。该手术的成功实施,是对手术医生的技术水平和救治经验是一种考验。该患者的成功救治,彰显了我院手足显微外科雄厚的技术实力,展现了医务人员一丝不苟的严谨态度,对医术精益求精的追求,对生命永不言弃的大爱。

医院动态

更多

    版权所有:榆林市第一医院    陕ICP备18016706号